by Pinnacle Orthocentre Hospital | Dec 4, 2023 | Orthopaedic Surgery
Introduction: Knock knees, medically known as genu valgum, is a condition where the legs angle outwards with respect to the thigh (Figure 1). While mild cases may not cause significant issues, more severe knock knees can lead to discomfort, joint pain, and difficulty...
by Pinnacle Orthocentre Hospital | Nov 27, 2023 | Orthopaedic Surgery
Introduction: Osteoid osteoma is a relatively uncommon but benign bone tumor that can cause significant pain and discomfort. While it is generally not life-threatening, the symptoms it produces can greatly impact a patient’s quality of life. In this article, we...
by Pinnacle Orthocentre Hospital | Oct 22, 2023 | Orthopaedic Surgery
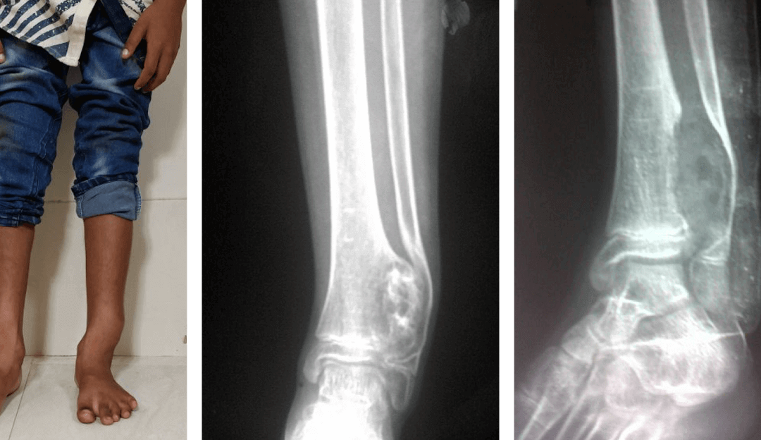
Introduction: Hereditary Multiple Exostoses (HME), also known as Multiple Osteochondromas (MO), is a genetic condition that affects the musculoskeletal system. In this article, we will shed light on Hereditary Multiple Exostoses, its causes, symptoms, diagnosis, and...
by Pinnacle Orthocentre Hospital | Jul 31, 2023 | Orthopaedic Surgery
Que.1-What is flatfoot? Ans: The sole of our foot is usually not flat. It has a central arch (Figure 1). Flatfoot is extremely common in young children (1 to 5 years age). Majority of these children develop normal arches as they grow up. In flatfoot, the arch is...
by Pinnacle Orthocentre Hospital | Jul 14, 2023 | Orthopaedic Surgery
Regain Mobility at the earliest at Pinnacle Orthocentre Hospital in Thane Sustaining a hand or wrist fracture can be a painful and debilitating experience. However, with the right diagnosis and treatment, you can regain mobility and return to your daily activities. At...
by Pinnacle Orthocentre Hospital | Jun 23, 2023 | Orthopaedic Surgery
Introduction: When it comes to orthopedic surgeries, such as joint repairs, one of the key decisions is choosing between arthroscopic surgery and open surgery. Both approaches have their advantages and considerations, and understanding the differences between the two...