Our Achievements In The Past 8 Years
Established In
OPD Patients
IPD Admissions
Surgeries Performed
Our Treatment Services

Knee Replacement Sugery

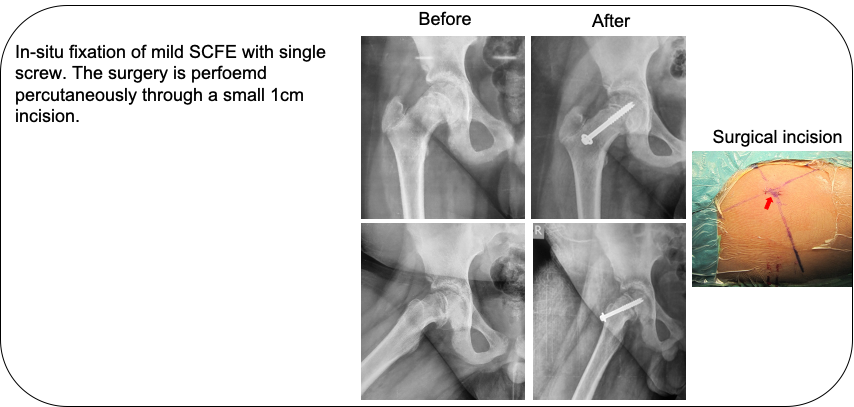
Pediatric Surgery

Hand Surgery

Arthroscopic Surgery

Spine Surgery

Brachial Plexus Injury

Bone Cancer Treatment

Total Hip Replacement
Hospital Infrastructure
- Out-Patient Department with 5 Consulting Rooms
- Radiology Department with Digital X-ray and Ultrasonography
- Physiotherapy Department with Adult and Child Physiotherapy services
- Casualty Department catering to emergencies 24 x 7 x 365

Day Care Ward

Delux Rooms

ICU

Exclusive Pediatric Physiotherapy
Other Specialities
Varicose Veins
Read More
General Surgery
Read More
Ear Nose Throat surgery
Read More
Diabetes Care
Read More
Urology
Read More
Oncology
Read More
GI Surgery
Read More
Plastic & Cosmetic Surgery
Read More
Why Choose Us
Our team of Orthopaedic surgeons comprises extensively trained and experienced Consultants in each division of Orthopaedics.
Pinnacle Orthocentre Hospital is the one-stop solution to all your problems in Orthopaedic Surgery. Apart from Orthopaedic Surgery, Pinnacle Orthocentre Hospital offers services in Internal Medicine and Critical Care, Cancer Care, Diabetes Care, General Surgery, Ear/ Nose and Throat Surgery, Skin & Hair Care, and, Dietary advice.
Since it’s inception in 2017, in the last three years, the hospital has catered to more than 30000 patients in the out patient department and conducted more than 3000 surgeries.
The hospital aims to blend clinical and academic activities and it’s consultants are invited faculty at various national and international conferences It is a one stop solution for all your Orthopaedic problems.
Expert Talks & Tips : Watch Now!
Latest Blogs
Robotics Technology in Joint Replacement Surgery
The field of joint replacement surgery has witnessed significant advancements over the years, and one of the most groundbreaking developments is the use of robotics technology. Robotic-assisted surgery has revolutionized the way joint replacement procedures are...
De Quervain’s Tenosynovitis: Symptoms, Causes and Treatments
De Quervain's Tenosynovitis: Is the surgery the final solution? De Quervain's Tenosynovitis is a common condition that causes pain and discomfort in the wrist and thumb, affecting everyday tasks like gripping and lifting. If left untreated, it can significantly impact...
Post-Orthopaedic Surgery Rehabilitation
Post-Orthopaedic Surgery Rehabilitation: A Complete Guide to Recovery At Pinnacle Orthocentre Hospital, one of the best orthopaedic hospitals in Thane, we believe that recovery doesn’t end in the operating room. Post-surgery rehabilitation plays a critical role in...
Patient Reviews






